A root canal treatment is a dental procedure to remove infected or inflamed pulp tissue on the inside of the tooth, then the canals are carefully cleaned and disinfected . The canals are then properly filled and sealed. Root canal treatment is designed to eliminate bacteria from the infected root canal system, prevent reinfection of the tooth and save the natural tooth.
Millions of teeth are treated and saved this way each year, relieving pain and making teeth healthy again. There's no need to be worried if your endodontist or dentist recommends a root canal procedure to treat a diseased or damaged tooth. A fully developed tooth can survive without the pulp because the tooth continues to be nourished by the surrounding tissues.
A modern root canal is nothing like those old sayings! Its very similar to a routine filling and can usually be completed in one or two appointments, depending on the condition of the tooth. Getting a root canal is relatively painless and extremely effective. You'll be back to biting, chewing
and smiling in no time. Please contact Middletown Endodontics at
(845) 673-5832.
The health and longevity of your tooth could depend on how quickly you get treatment, so please call Middletown Endodontics at (845) 673-5832 right away if you require endodontic emergency care.
Emergency endodontic treatment, or an emergency root canal, is needed when a patient experiences severe symptoms and significant pain and discomfort as a result of decayed or damaged teeth. An emergency treatment usually means that the pulp chamber of the tooth has been compromised and that infection has spread to the roots and bone of the tooth. If not treated, the infection will continue to spread and eventually will result in more intense pain as well as possible facial swelling.

There are many reasons why a tooth fails to heal properly after a root canal therapy, including delaying placement of the dental crown or other restoration or saliva contamination. When this occurs we often recommend endodontic retreatment in order to treat your symptoms and save your natural tooth. Our endodontist uses innovative technology and treatment techniques to increase the success rate of your endodontic retreatment. To learn if this treatment is right for your tooth, please contact Middletown Endodontics by calling (845) 673-5832.

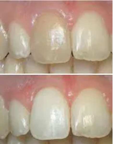
Internal bleaching is the process of bleaching or whitening a tooth from the inside out. Unlike traditional tooth whitening, where whitening agents are applied to the outside of the tooth, internal bleaching is completed from the inside out. In cases of trauma or caries, the discoloration begins from inside of the tooth and spreads outwards. These types of stains can be eliminated by chemical means, via internal bleaching. This technique is a more conservative option to making you wanna smile again. Please contact Middletown Endodontics at (845) 673-5832.

Teeth with incomplete root development have short roots with thin walls, which compromises their longevity. Through regenerative therapy, we can facilitate root development in previously immature teeth with necrotic pulps. This is a significant benefit over conventional root canal treatment and especially valuable for young patients, as teeth preservation is critical to their skeletal and dental development. Please contact Middletown Endodontics at (845) 673-5832